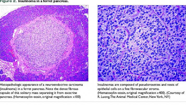
Insulinomer er sannsynligvis den vanligste svulsten hos kjæledyrildere. Også kalt bukspyttkjerteløycelletumorer, disse er svulster i insulinproduserende celler i bukspyttkjertelen. Svulstene produserer et overskudd av insulin, noe som resulterer i hypoglykemi (lavt blodsukker). Dessverre er svulstene ofte ondartede, selv om de vanligvis kan behandles med kirurgi eller medisiner i betydelig tid.
Insulinomer forekommer vanligvis hos ildere rundt 2-3 års alder. Utbruddet kan være gradvis, med tegn som starter mildt, for deretter å bli verre og hyppigere; sykdommen kan også være ganske alvorlig og plutselig. Noen ganger er det ingen åpenbare tegn, og insulinom oppdages bare under laboratorietester for andre problemer. Insulinom kan finnes samtidig med binyresykdom, lymfomer, kardiomyopati og andre sykdommer.
Tegn på insulinom hos ildere
Tegnene oppstår ofte i episoder, med perioder med normal aktivitet og oppførsel mellom episodene.
- Vekttap
- Episoder med depresjon, sløvhet, å være "ute av det" (kan til og med kollapse og ikke reagere)
- Svakhet og ukoordinering, spesielt i bakbena
- Ofte spytt og labbing i munnen under episoder
- Alvorlige episoder kan resultere i anfall, og noen ganger koma
- Appetitten ofte normal, noen ganger redusert
Diagnose
Hvis ilderen din viser noen av disse symptomene, er en tur til en ildervennlig veterinær en nødvendighet. Diagnose av insulinom er oftest basert på kliniske tegn og lavt blodsukker (hypoglykemi), målt ved en blodprøve. Noen ganger kan det hende at blodprøver må gjentas, eller utføres etter en kort ventetid (4 timer) for å dokumentere lavt blodsukker. Noen veterinærer tester også insulinnivåer. Andre tester anbefales for å vurdere ilderens generelle helse, og mulig tilstedeværelse av andre sykdommer.
Behandlingsmuligheter
Kirurgi
Hos en ellers frisk ilder er den foretrukne behandlingen kirurgi, som tillater fjerning av synlige svulster (det er ofte flere svulster). Under operasjonen bør veterinæren også sjekke binyrene for utvidelse, da en binyresykdom kan være tilstede samtidig. Dessverre, på grunn av naturen til øycelletumorer, sprer de seg ofte til tross for kirurgi som gjør medisinsk behandling nødvendig i fremtiden. Imidlertid lindrer operasjonen for å fjerne større svulster ofte symptomene i noen tid, eller i det minste gjør medisinsk behandling enklere. Blodsukkeret bør testes med jevne mellomrom (to uker etter operasjonen, deretter annenhver måned), slik at medisinsk behandling, om nødvendig, kan begynne.
Medisinsk ledelse
Medisinsk behandling kan være nødvendig etter operasjonen eller kan være den foretrukne behandlingen for ildere som er ganske gamle eller syke og derfor en dårlig kirurgisk risiko. Legemidlene prednison og diazoksid kan brukes (alene eller i kombinasjon), og selv om de hjelper til med å kontrollere symptomene, påvirker de ikke utviklingen av sykdommen. Kostholdsledelse er også viktig - sørg for at mat alltid er tilgjengelig og gi en kjøttbasert ilderdiett av høy kvalitet (høyt på protein og lite karbohydrater). I tillegg må søte godbiter unngås helt siden de kan provosere en hypoglykemisk episode (ved å stimulere svulstcellene til å produsere for store mengder av insulin). Veterinæren får også tips om akuttbehandling av en hypoglykemisk episode hjemme. Husk at medisinsk behandling kun er ment å bidra til å kontrollere hypoglykemien, og at etter hvert som sykdommen utvikler seg, kan symptomene forverres. En økning i medisindoser er sannsynlig, men til slutt kan medisinen bli ineffektiv.
Ressurser
- Ilderinsulinom FAQ -Informasjon fra flere ilderveterinærer (inkludert Dr. Bruce Williams) om insulinomtegn, diagnose og behandling.
- Insulinom - Hvordan gjenkjenne det og akuttbehandling -en fin artikkel som ikke er for klinisk og gir mange praktiske råd om hvordan du håndterer en ilder som har et insulinom. Av Beth Camarow i samråd med Dr. Charles Weiss.

